405-722-7071
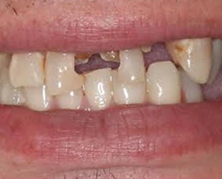
Restore Your Smile With Dental Implants
START TODAY with a FREE, no-obligation consultation - a $500 value.
Real Patient Reviews
In-House Dental Lab
Highest Quality Dental Materials
Teeth in One Day
SOLVE DENTAL PROBLEMS
REGAIN CONFIDENCE
TALK MORE, SMILE MORE
IMPROVE YOUR HEALTH

Meet Dr. David Lawrence
Dental Implant Specialist in Oklahoma City, OK

Why Choose Us

Real Reviews

Procedure Cost

Smile Gallery
The Journey to Your Perfect Smile
Preview, Perfect & Embrace With Confidence
Current Specials
Hassle Free Financing Available
Transparent Pricing
Single Arch
$21,995
$285/mo
Double Arch
$42,995
$450/mo
02.
Smile Test Drive
Wondering what your new smile could look like? Our Smile Test Drive lets you preview the results of dental implants before starting treatment. With advanced imaging and smile design, we create a realistic simulation of your future smile so you can move forward with confidence.
Whether replacing one tooth or a full arch, the Smile Test Drive shows you the transformation ahead of time. It’s a simple way to explore your options and see the natural-looking results dental implants can offer.

03.
The Temporary Smile
With dental implants, you don’t have to wait long to enjoy a beautiful smile. The Temporary Smile is a custom-made provisional restoration placed shortly after your implant surgery, giving you natural-looking teeth while your implants heal. It helps restore function and confidence during the healing period.
This temporary solution allows you to eat, speak, and smile comfortably while your permanent teeth are being designed. Crafted for a secure fit and aesthetic appeal, The Temporary Smile ensures you never go without teeth throughout your implant journey.




Available Financing & Payment Options
Contact us to learn more about our financing options and schedule your FREE consultation with our dentists today!
We know not all patients have dental insurance, so we also accept alternatives to paying for dental care through Cherry, CareCredit®, Sunbit, Proceed Finance, and LendingClub.









